Histoire de la maladie
Femme 42 ans
Diarrhée depuis 3 semaines
10 selles sanglantes, perte de 9 Kg
CRP 200 Hb 12,9, coprocultures négatives notamment pas de Clostridium
Score de Lichtiger à 15
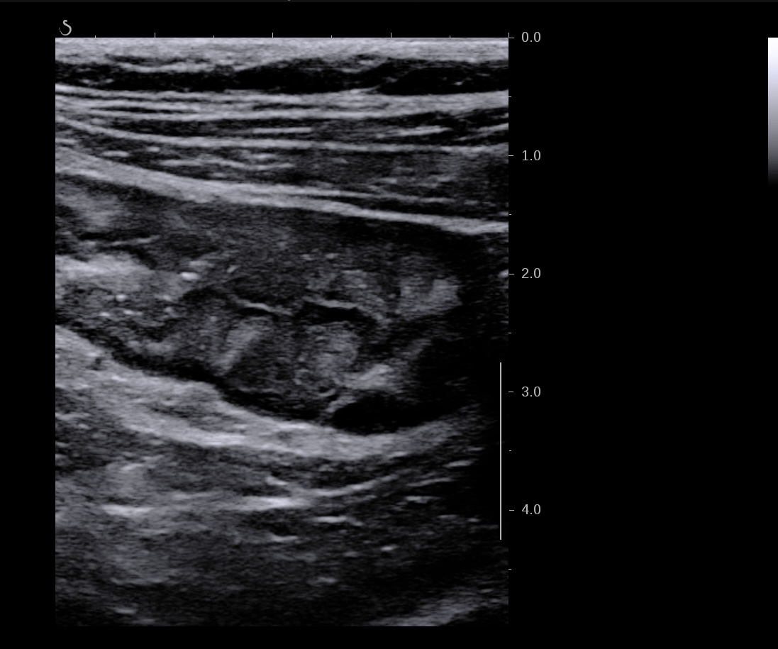
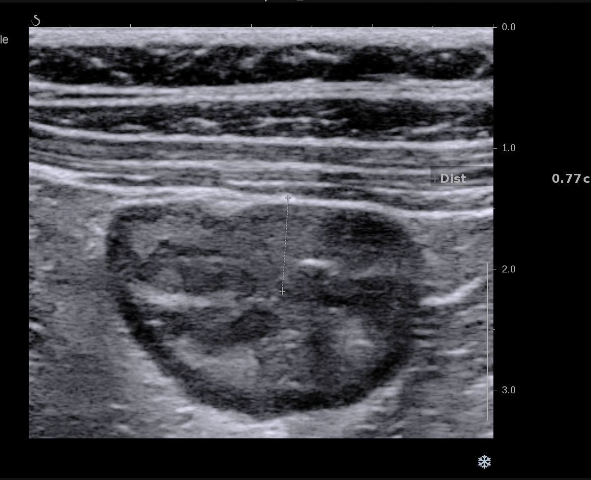
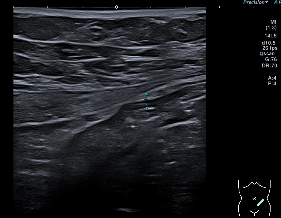
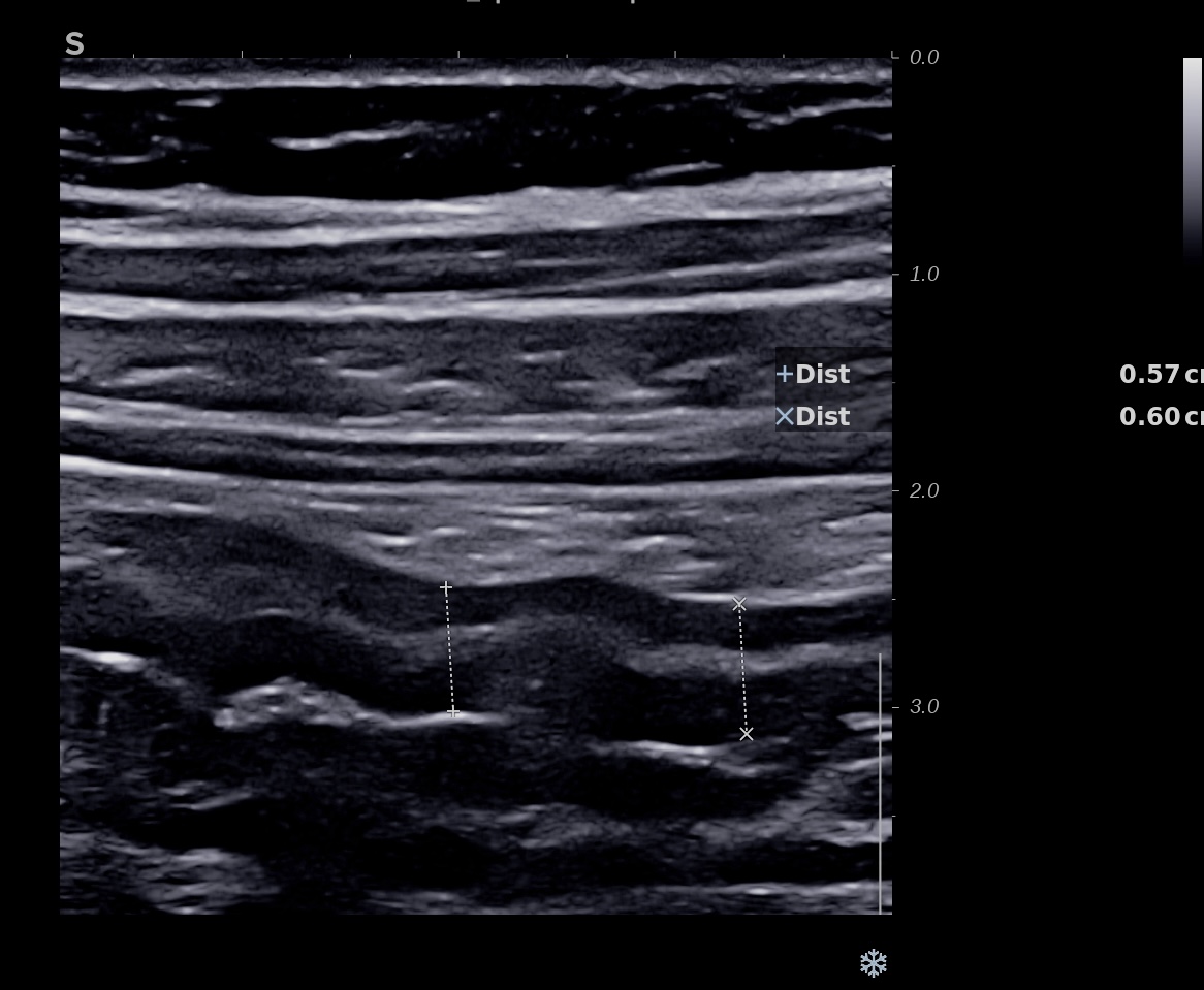
Echographie 22/12/2022

il y a deux formes graves de rectocolite hémorragique
– La colite aiguë grave (lorsque l’inflammation atteint la totalité de la paroi)
– La colectasie (distension de lumière caecale), lumière > 6 cm et paroi < 2 mm, liquide dans les anses iléales dilatées(1).
(1) Macroni et al (2004), US detection of toxic megacolon in inflammatory bowel diseases. Dig Dis Sci 49:138-142
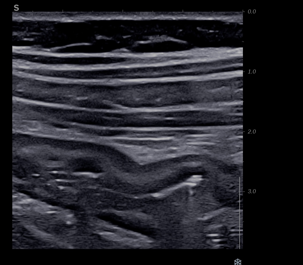
En échographie la colite aigüe grave se traduit par
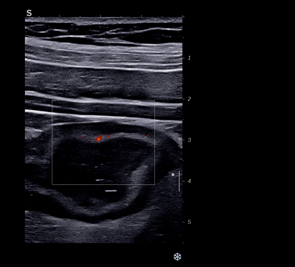
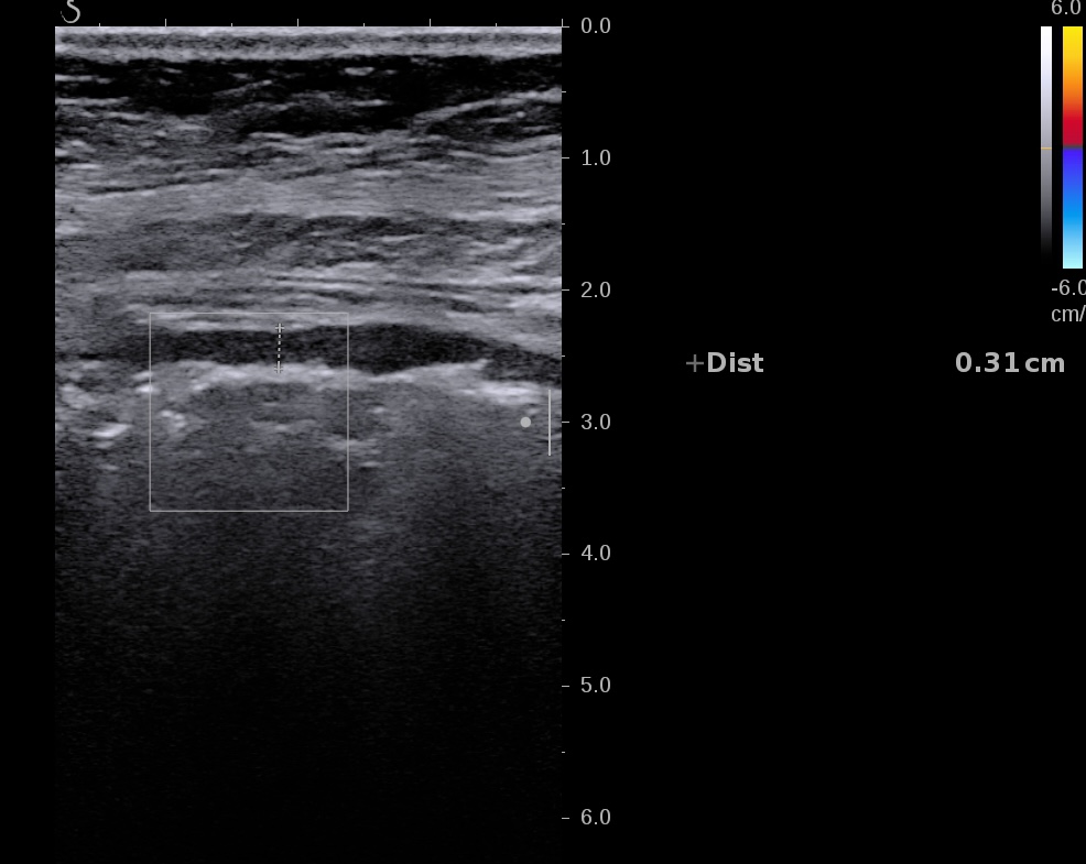
1. Epaississement important :
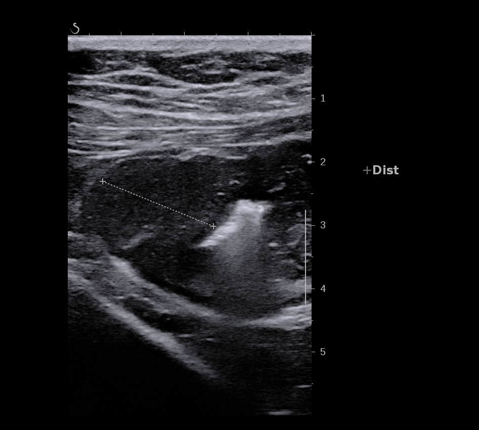
une inflammation au delà de 8 mm, voir 10 ou exceptionnellement 12 mm est un signe de gravité.
2. la disparition de la structure en couches
L’inflammation qui dans la RCH est au départ superficielle (couches 2 et 3) gagne la totalité de la paroi (la sous muqueuse devient hypoéchogène et toute la paroi devient noire hypoéchogène)
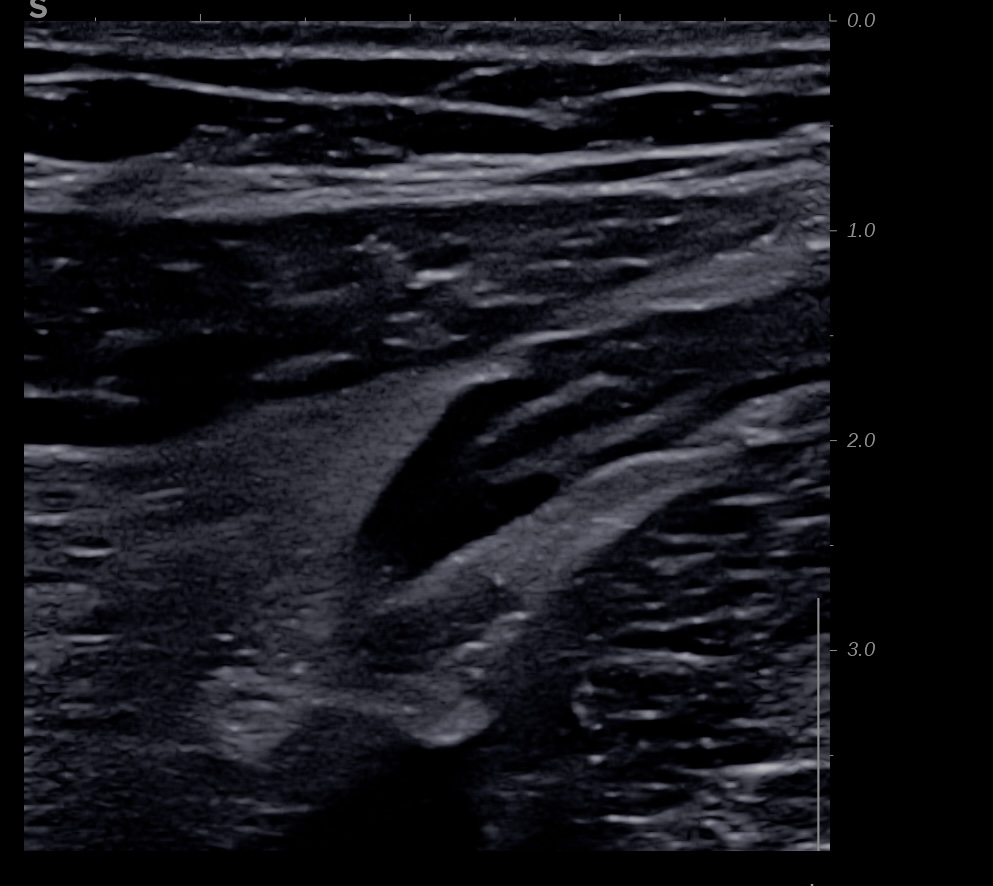
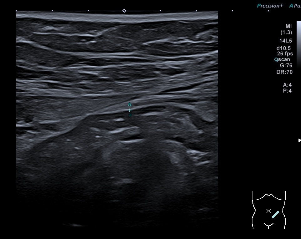
Si l’inflammation s’aggrave, on peut voir des ulcères creusants en surface et la limite externe de l’anse (classiquement rectiligne dans la RCH) devient irrégulier, bosselé.
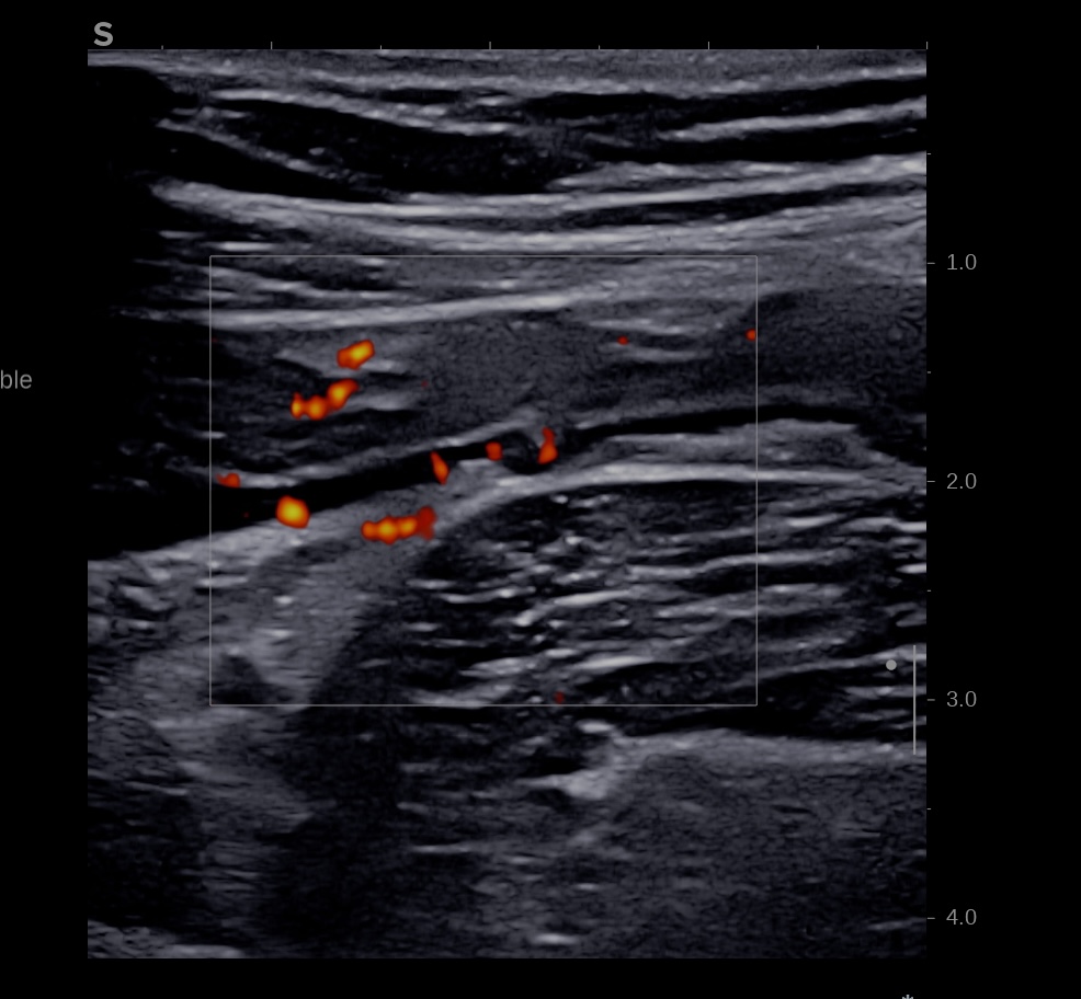
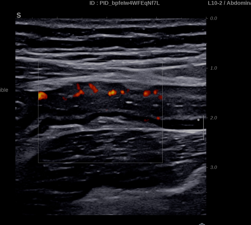
3. L’inflammation atteint la périphérie de l’anse donc
– hyperactivité doppler intense de la paroi et de la graisse (Limberg 3)
– présence de liquide en périphérie de l’anse (perforation imminente)
La paroi du colon devient totalement déformée, en surface avec ulcères, en périphérie avec des bords externes irréguliers, la graisse est infiltrée, voire apparition d’un épanchement liquidien, signe de gravité extrême
Epaississement considérable par endroit (10 ou 11 mm), disparition totale de la structure en couches, déformation de la surface avec ulcérations, déformation des contours, infiltration de la graisse, hyperactivité Doppler
Le Score de Milan (MUC) est à 17.4
Les images échographiques correspondent parfaitement aux images endoscopiques, et sont finalement beaucoup plus précises que les images scanographiques.
Endoscopie Mayo 3 UCESI 7/8 ulcères creusants
L’histologie confirme une RCH grave sans surinfection par le CMV.
La récupération échographique peut être très rapide et on peut observer une restitution ad integrum de la paroi à distance.
La patiente est mise sous corticoides IV avec évolution très favorable
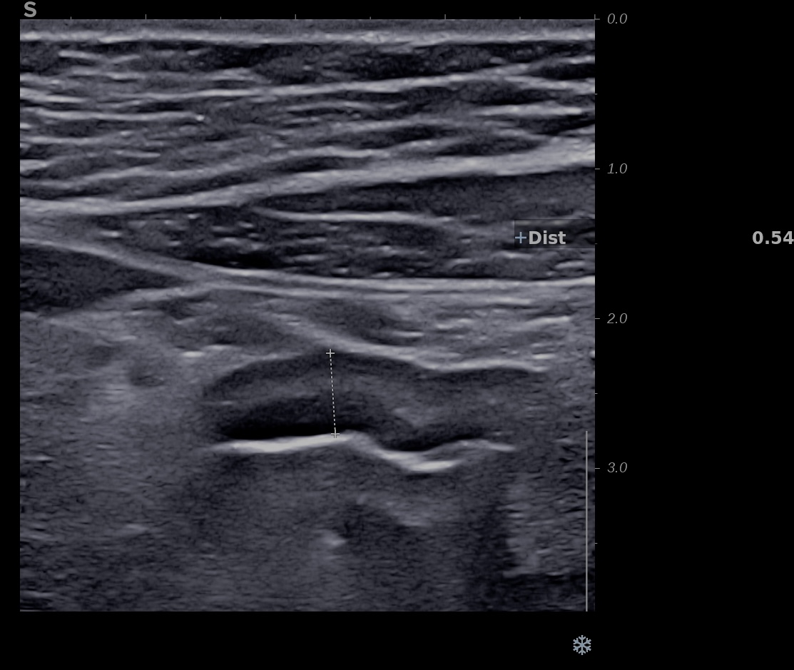
Nouvelle échographie à J15, La paroi est moins épaisse mais la structure en couche n’est pas totalement réapparue, le score de Milan MUC est alors à 6,2
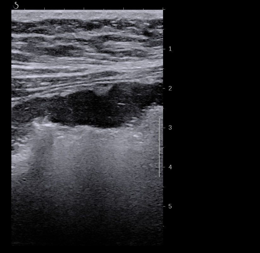
Patiente revue 4 ans plus tard sous vedolizumab Entiyo® en rémission clinique complète, biologie et calprotectine fécale normales, l’échographie (mauvaise échogénicité de la patiente) montre une paroi normalisée entre 1,8 et 2,8 mm d’épaisseur structure en couche conservée.
Le score de Milan MUC est à 3.92 confirmant la rémission échographique
Deux autres cas cliniques de colite aigue grave
Cas Numéro 2
Patient avec rectite basse connue, avec automédication Betnesol-5 asa, corticoides par voie orale.
En mars 2022, il a une poussée avec 20 selles, des douleurs, CRP 183, Score de Lichtiger à 20
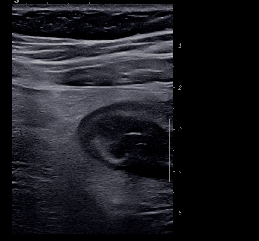
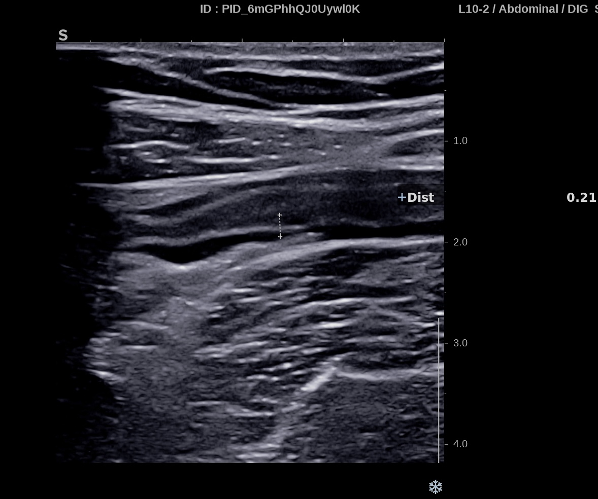
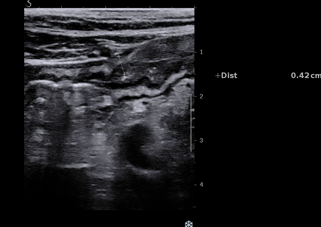
Echographie: pancolite jusqu’à l’angle droit, Paroi 7 mm perte de la stratification, doppler positif.
Cas numéro 3
Patient présentant une diarrhée depuis 4 mois
CRP 204 Lichtiger 15 albumine 33 préalbumine 0,23
Echographie: colite gauche 8 mm perte de la stratification et ulcère
Coloscopie: Mayo 3 UCEIS 7/8
Histologie : rectocolite hémorragique sans surinfection à CMV
Echographie des cas numéro 2 puis 3

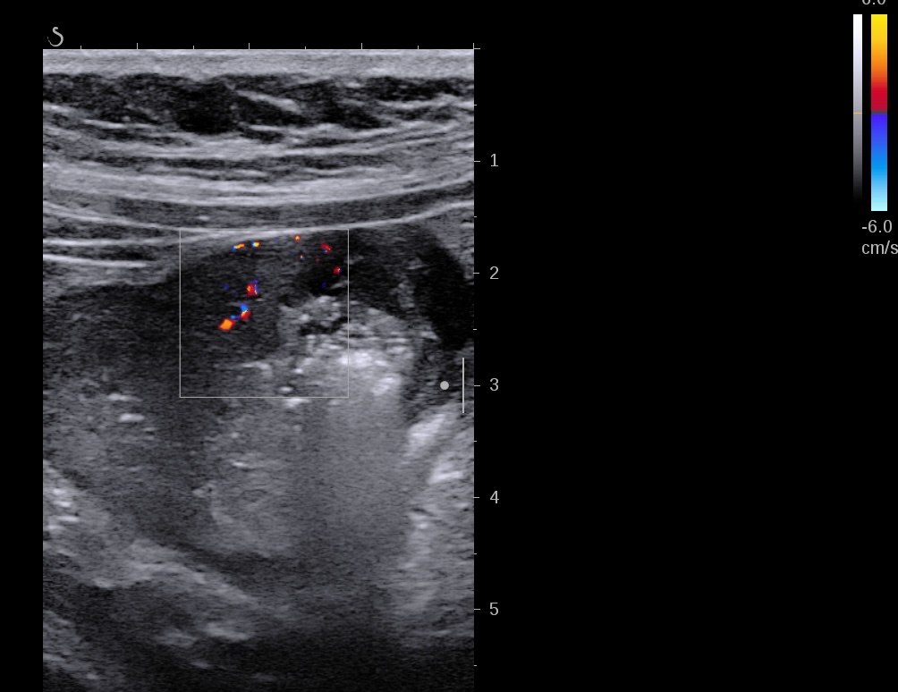
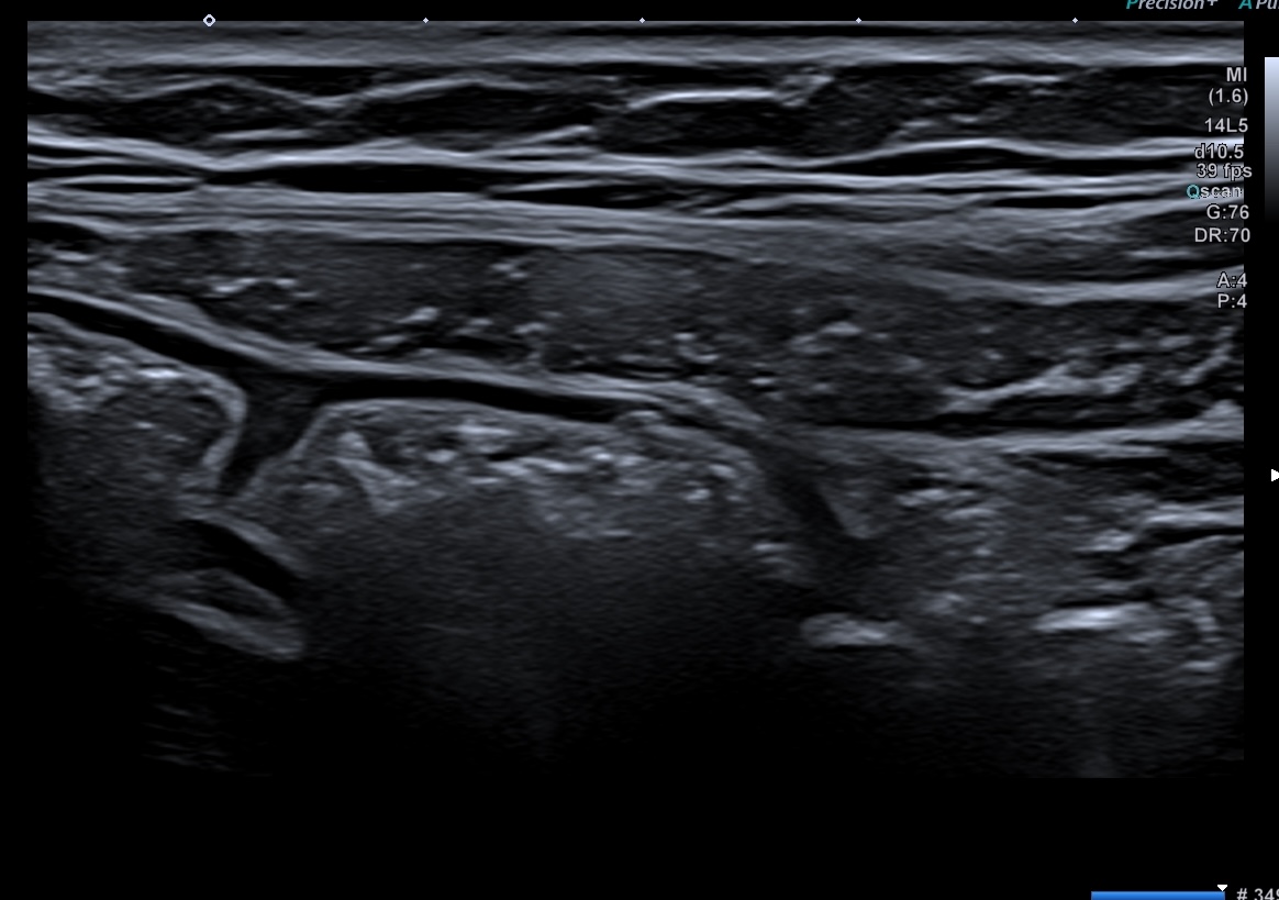
Epaississement entre 4.5 et 7 mm selon les segment, la structure en couche disparait totalement par endroit, à d’autre elle est partiellement conservée. Activité doppler intense de la paroi
Le Score de Milan (MUC) est à (1,4 x7+2) = 11,8
Là encore la paroi est très hypoéchogène, la structure en couches est par endroit totalement absente, ulcérations en surface, infiltration de la graisse, doppler intense, petites adénopathies périphériques.
Le rectum est bien vu avec la sonde basse fréquence la paroi atteint 10 mm à ce niveau.
Le score de Milan MUC est de (10 x1,4+2) = 16
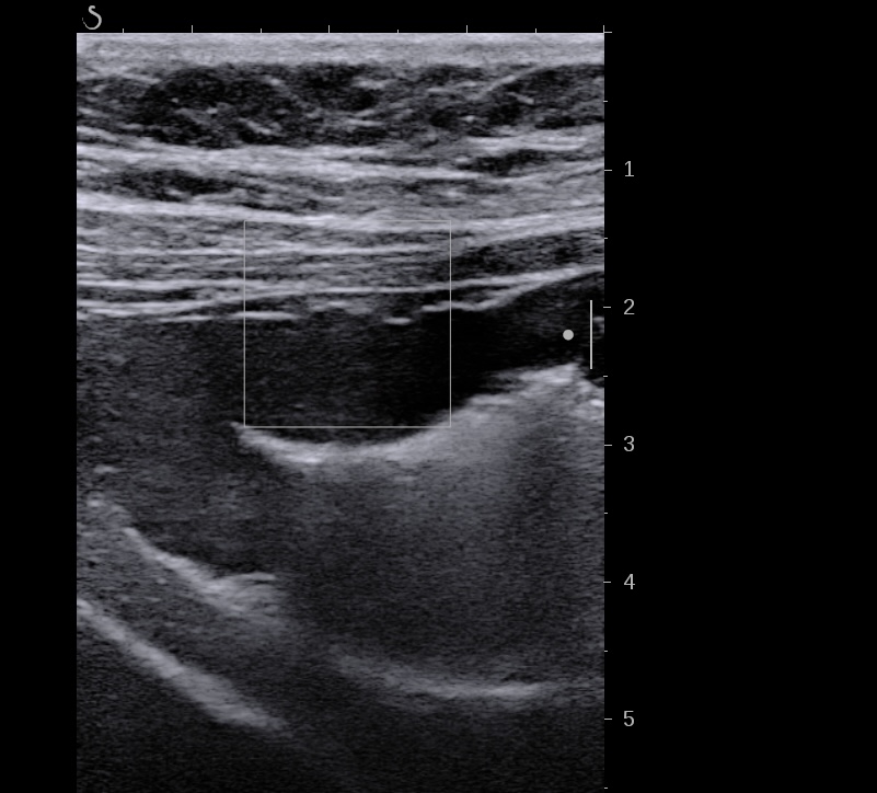
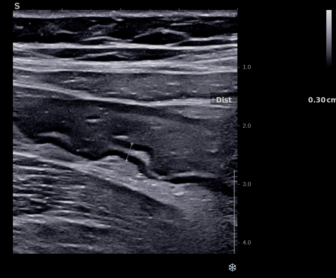
La récupération échographique est très rapide, dès la 72 ième heure sous corticoïdes IV on constate des signes d’amélioration. L’épaisseur pariétale a diminué de plus de 25 % entre 3,5 et 6 mm, la sous muqueuse réapparait. Le doppler reste cependant intense
le score de Milan, segment le plus atteint (6 x1,4 +2 ) MUC = 10,4
On a donc une réponse significative au traitement
Le patient est mis sous Combothérapie Remsima-imurel
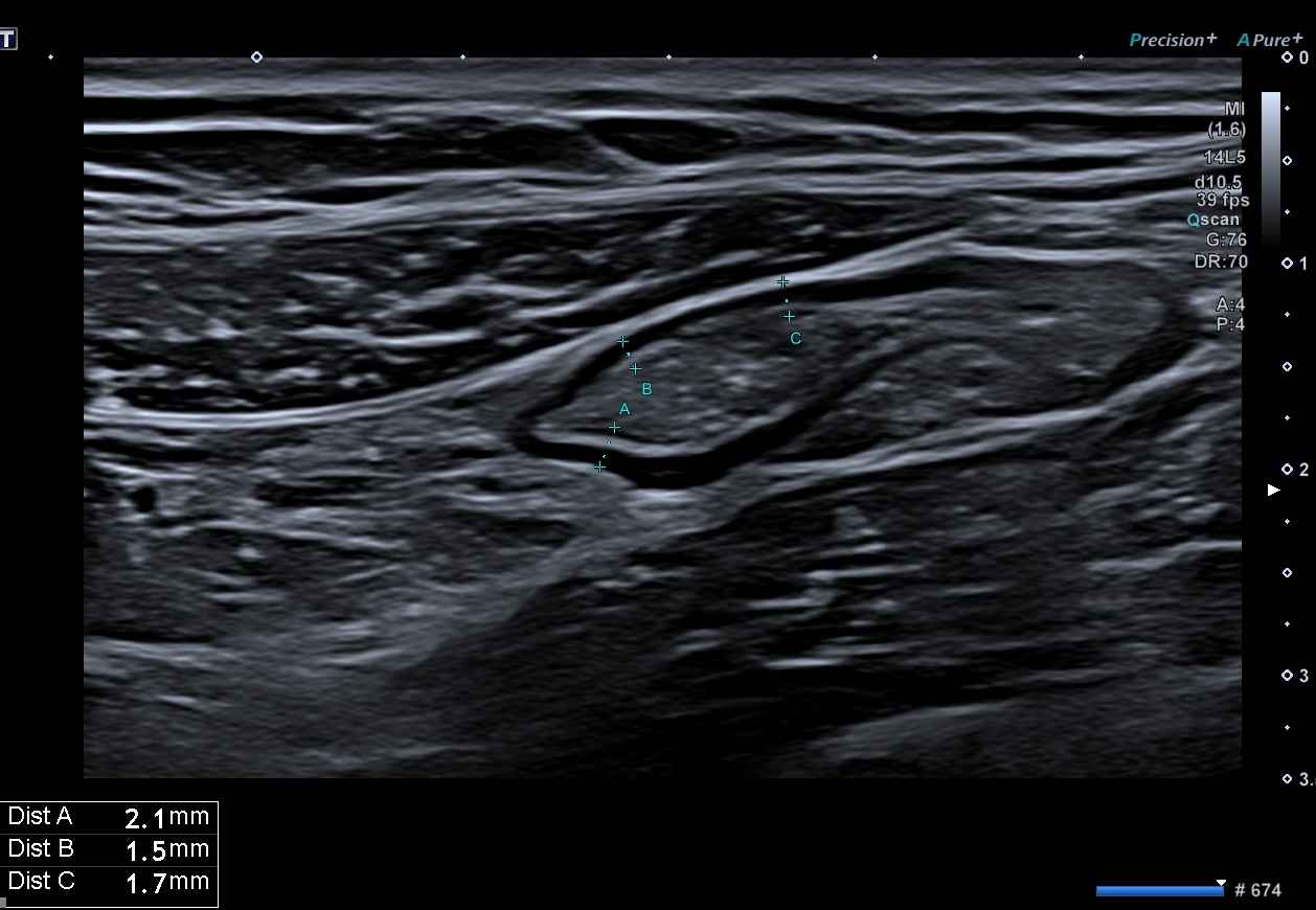
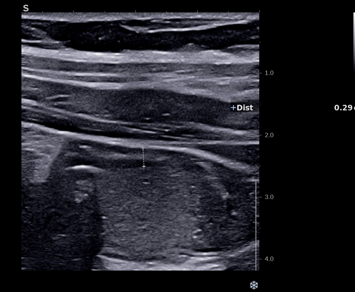
Dès J7 l’amélioration échographique de la paroi se poursuit. L’épaisseur pariétale approche la normale (3 mm) et par endroit 2,1 mm, les couches sont bien visibles, le doppler reste intense (Limberg 3) .
le score de Milan, segment le plus atteint est de (3 x1,4 +2) MUC = 6,2
la maladie reste active, mais la réponse est impressionnante et se poursuit.
La paroi est redevenue strictement normale, rien ne permet de la différentier d’un colon sain.
L’épaisseur pariétale est de 1,8 mm, structure en couche totalement rétablie, le Doppler est négatif, Limberg 0.
On retrouve les haustrations coliques normales.
Le score de Milan est de (1,8 x1,4+0) MUC = 2,52
Conclusion
1) Dans la colite aiguë grave l’échographie intestinale apporte immédiatement des éléments de gravité (importance de l’épaisseur, disparition de la structure en couches, voire déformation des contours et ulcères de surface)
2) Mesure de la réponse au traitement dans la colite aigue grave
Les images, mêmes impressionnantes,peuvent régresser très rapidement et on peut mesurer la réponse aux traitements dès 48-72 h 00, l’échographie à 72 h a une valeur pronostique.
Comme en endoscopie, on peut avoir à terme un retour à la normale de l’aspect échographique de la paroi colique.
L’échographie, non invasive très bien tolérée, peut facilement être répétée et permettre d’éviter une certain nombre de scanners ou d’endoscopies, plus invasifs, plus couteux et plus producteurs de CO2.